교정 장치가 보이지 않는 심미성을 넘어, 이제는 ‘치료의 효율성’으로 승부하는 시대입니다. 2026년 현재, 투명교정(CAT, Clear Aligner Therapy)이 전 세계적으로 각광받는 이유와 울산BS치과만의 특별함을 전해드립니다.
1종류가 아닌 ‘전략적 다중 복합 소재’의 도입
과거의 투명교정은 한 가지 재질로만 제작되었습니다. 하지만 최신 트렌드는 다릅니다.
복합 재료(Multilayer Materials): 치아 이동 단계에 따라 강도와 탄성이 다른 여러 재료를 전략적으로 사용합니다. 이를 통해 치아에 가해지는 힘을 정밀하게 제어하며, 이동 속도는 높이고 통증은 줄였습니다.
비약적인 속도 향상: 소재의 발전과 디지털 설계의 결합으로 기존보다 훨씬 빠르고 효율적인 치아 이동이 가능해졌습니다.
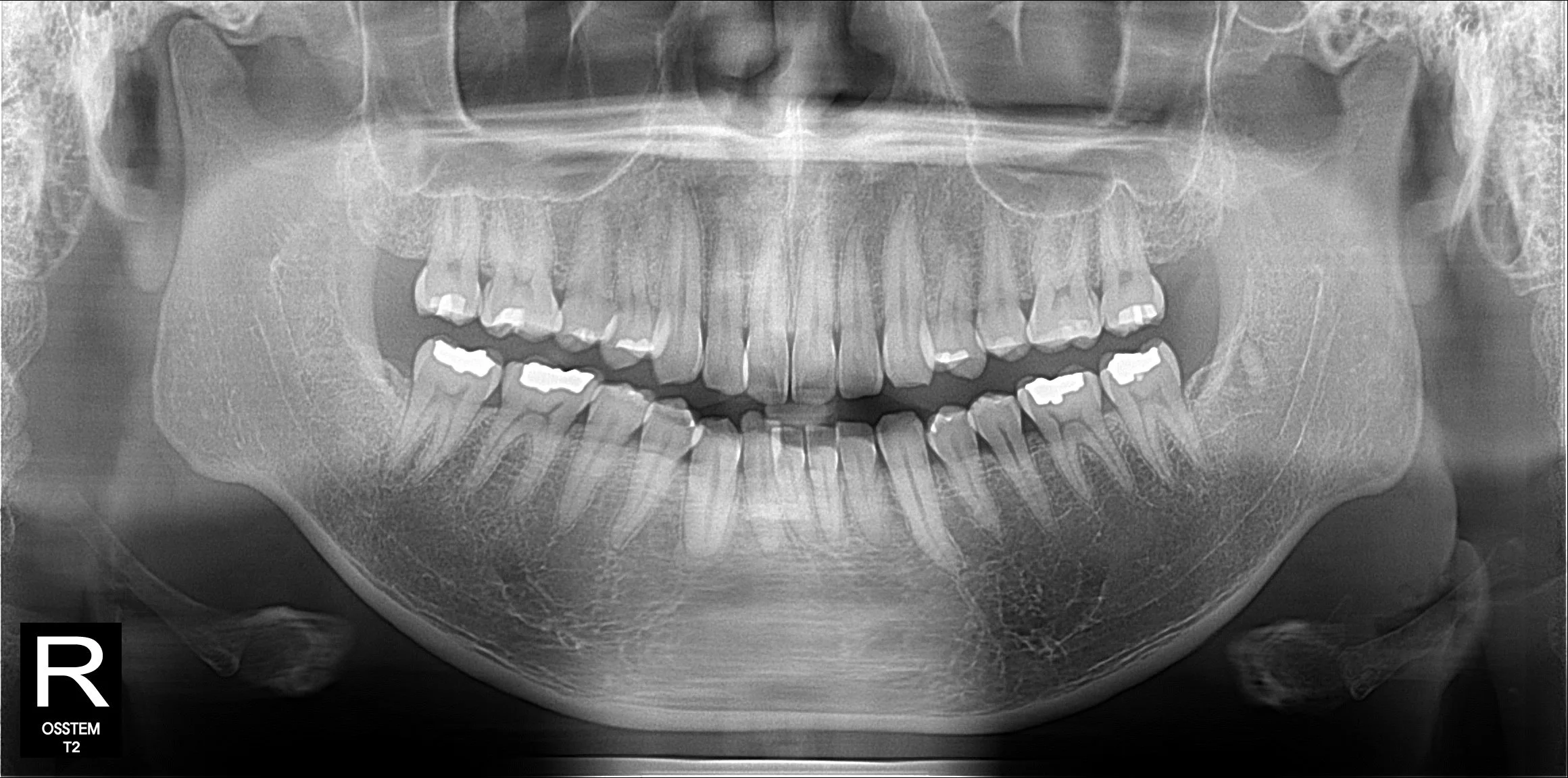
눈에 보이지 않는 ‘뿌리’까지 계산하는 정밀함
이제 투명교정은 단순히 치아의 겉모양만 맞추지 않습니다.
CBCT 연동 시스템: CBCT 데이터를 활용해 잇몸뼈 속 치아 뿌리(치근)의 형태와 위치를 3차원으로 파악합니다. 뿌리의 이동 경로까지 미리 계산하여 더욱 안전하고 정교한 치료 계획을 세웁니다.
고정밀 구강 스캐너: 마이크론 단위까지 잡아내는 최신 스캐너를 통해 환자분의 구강 구조를 오차 없이 재현하며, 이는 곧 장치의 완벽한 밀착력과 효과로 이어집니다.
눈에 보이는 치아 머리(치관)뿐 아니라 이제 치아 뿌리(치근)까지 확인이 가능하고 시뮬레이션이 가능해졌습니다.
학술적 근거: '메타 분석'이 증명하는 투명교정의 가치
잠깐! '메타 분석(Meta-analysis)'이란? 특정 주제에 대한 수많은 연구 결과들을 통계적으로 통합하여 분석하는 방법입니다. 의학계에서 가장 신뢰도가 높은 최상위 근거로 통합니다.
Nature를 발간하는 Springer Nature에서 임상연구와 실무를 다루는 Clinical Oral Investigations에 최근 발표된 투명 교정 장치와 기존의 교정 장치에 대한 비교 연구
최근 발표된 투명교정 관련 메타 분석 결과에 따르면, 다음과 같은 유의미한 결론이 도출되었습니다.
우수한 치료 대안: 경미하거나 중등도의 부정교합에서 투명교정은 기존 브라켓(철사) 장치를 대체할 수 있는 충분히 성공적인 치료법입니다.
치주 건강의 이점: 장치를 탈부착할 수 있어 구강 위생 관리가 매우 용이하며, 이는 곧 더 건강한 잇몸 상태 유지로 이어집니다.
환자의 삶의 질 향상: 기존 장치 대비 통증이 적고 식사나 저작 시 불편함이 최소화되어, 치료 과정 중 환자분이 느끼는 삶의 질이 훨씬 높습니다.
낮은 치근 흡수 위험: 지속적이고 부드러운 힘을 가하는 특성상, 치아 뿌리가 짧아지는 치근 흡수의 위험이 상대적으로 낮습니다.
기술적 보완을 통한 발전: 컴퓨터 프로그래밍과 소재 디자인, 정밀 어태치먼트 기술이 결합되면서 투명교정의 정확도는 과거에 비해 비약적으로 향상되었습니다.
메타 분석 결과에 따르면, 심한 부정교합이나 발치 케이스에서는 정교한 진단에 따라 기존 장치와의 병행이나 전문적인 설계가 더욱 중요합니다. 울산BS치과는 환자분의 상태에 가장 적합한 최선의 솔루션을 제시해 드립니다
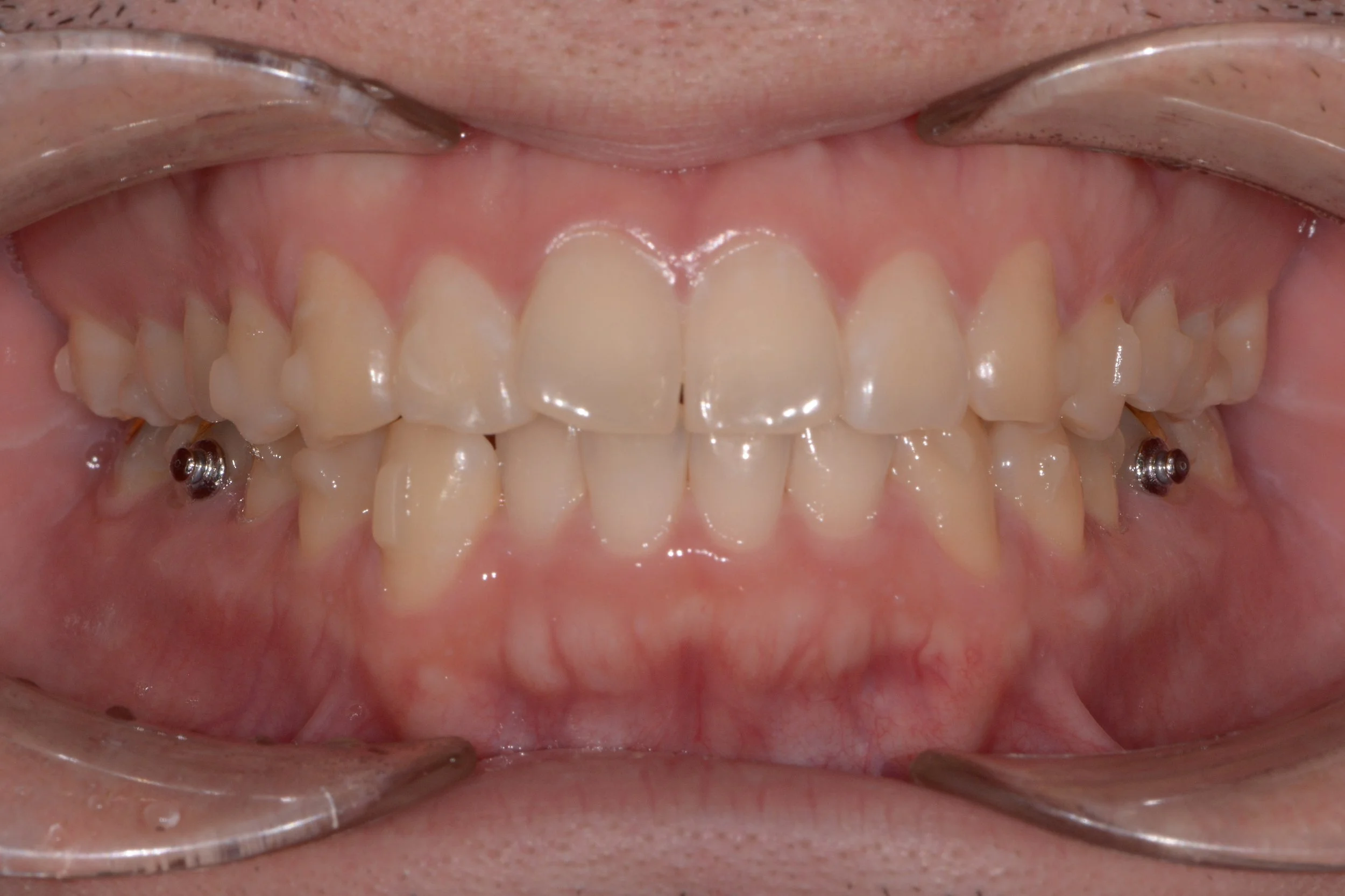
투명교정 치료 전
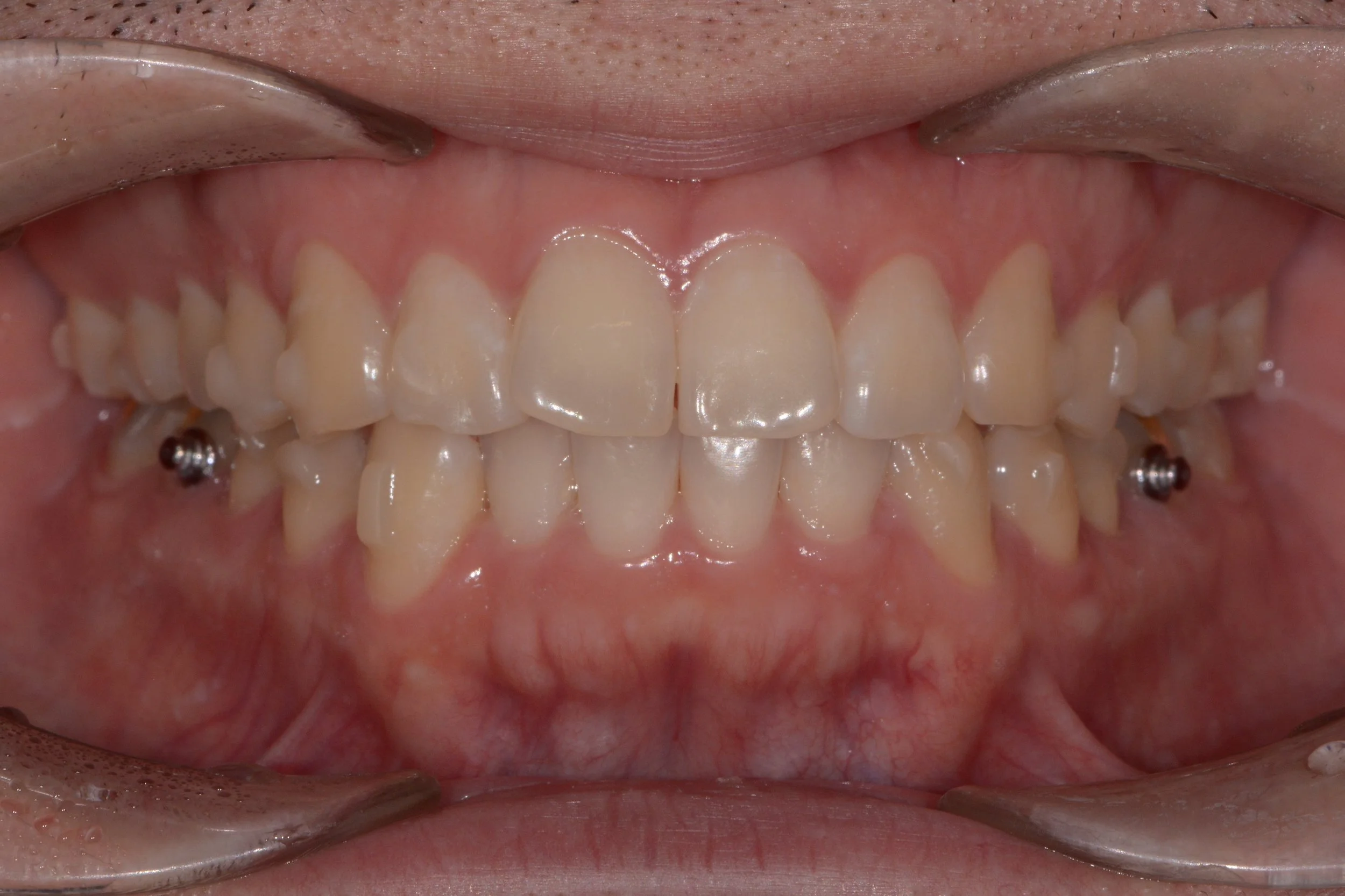
투명 교정 치료 1년 경과 후
왜 '울산BS치과'의 투명교정인가요?
투명교정의 성공은 장치 자체가 아니라, 그 장치를 설계하는 의료진의 역량에 달려 있습니다.
대한디지털교정치과의사회 학술이사, 이영규 원장: 이영규 원장님은 투명교정(CAT)과 디지털 교정 분야를 선도하는 대한디지털교정치과의사회 학술이사를 맡아, 최신 학술 트렌드와 기술 발전을 임상에 직접 적용하고 연구합니다.
풍부한 임상 데이터: 울산BS치과는 개원 초기부터 투명교정 시스템을 도입하여 수많은 케이스를 성공적으로 이끌어온 노하우를 보유하고 있습니다.
개인별 맞춤 설계: 메타 분석에서도 강조되었듯, 투명교정은 정밀한 컴퓨터 프로그래밍이 핵심입니다. 원장님이 직접 환자 개개인의 데이터를 분석하여 최적화된 이동 경로를 설계합니다.
