오늘은 치아 사이가 벌어진 경우의 투명 교정 치료법에 대해서 설명 드리겠습니다.
치아가 벌어지는 경우는
- 턱에 비해 작은 치아 크기 
- 혀로 치아를 내미는 습관 
- 치아의 상실 등 비정상적인 수 
- 치아의 위치 이상 
- 치아의 형태 이상 등 
여러가지 원인으로 발생 할 수 있습니다.
이러한 원인에 따라 치아를 라미네이트나 크라운 등 보철적인 방법으로 해결 하는 경우도 있고, 치아의 위치가 정상적이지 않은 경우 교정치료 등을 통해 해결 하기도 합니다.
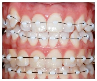
교정치료는 전통적인 장치인 브라켓을 부착하는 방법과, 최근에 소개된 가는 와이어등을 이용한 방법, 그리고 투명 교정 장치(인비절라인)등을 이용하는 방법등이 있습니다.
벌어진 앞니를 치료하기 위해 과거에 레진을 이용하여 공간을 숨긴 경우 입니다. 시간이 자나서 레진이 탈락하고 공간을 없애기 위해 투명 교정 치료를 위해 인비절라인을 이용하여 8개월간 치료 하였습니다. 기존의 레진으로 채워두었던 부분을 제거하니 치아 삭제한 부분도 보이고, 처음 상태보다 큰 공간을 확인할 수 있었습니다. 장치 착용후 8개월이 지난 경우 대부분의 공간이 폐쇄 되었고, 삭제된 아랫니의 공간이 남아서 이 부분에 대한 미세 조절을 시행하고 있습니다.
투명 교정장치는 특수하게 제작된 얇은 플라스틱 형태의 장치를 일정 시간 이상 착용하는 치료법입니다.
모든 공간이 있는 경우에 투명 교정 장치가 사용될 수는 없습니다. 필요에 따라 라미네이트, 임플란트등의 보철적 방법이 필요할수도 있습니다. 단순한 공간 폐쇄의 경우 짧은 기간의 교정 치료를 통해 충분히 치료 될 수 있습니다.

 
             
             
             
             
             
             
              
             
              
             
              
            