오랜 기간의 교정 치료가 마무리 되면 가지런한 치열을 얻게 됩니다.
그러나 교정 치료가 끝나고 교정 장치를 제거 했다고해서 교정 치료가 모두 끝난것은 아닙니다.
교정 치료 후에도 치아가 다시 틀어지지 않도록 유지장치를 착용해 주셔야 합니다.
이러한 치아가 틀어지는것은 교정은 치아를 배열한 것이고 치아 주변의 근육, 골격 등은 변화시키기 어렵기 때문에 평소의 씹는 습관, 버릇, 씹는 힘의 크기, 이갈이, 이 악물기 등을 통해 치아는 상당한 양의 힘을 받게 되고 이러한 힘의 영향으로 치아가 장기간에 걸쳐서 움직이기 때문입니다.
치아 교정 후에 착용하는 유지 장치들은 다음과 같습니다.
- 고정식 유지 장치 
 앞니 치아의 안쪽면에 가느다란 철사를 붙여 치아의 움직임을 예방하는 것입니다. 환자분이 유지 장치를 꼈다 뺐다 하는 번거로움이 없어서 편한 반면에, 철사가 치아에서 탈락되면 치아가 움직일 수도 있으므로 빨리 치과를 찾아 다시 부착하여야 합니다.
 아래 앞니의 뒷면 혀 아래에 침샘이 있어서 철사 주변으로 치석이 잘 생길 수 있기 때문에 정기적으로 치과 검진을 통해 철저한 관리가 필요합니다.
- 가철식 유지 장치 
 환자분이 직접 꼈다 뺐다하는, 철사와 플라스틱 부분으로 이루어진 유지 장치 입니다. 전체적으로 치아를 안정된 위치로 유지해주면서, 위, 아래 치아들이 조금 더 자연스럽게 맞아 들어갈 수 있도록 가이드라인 역할을 해줍니다.
 가철식 유지 장치는 탈착이 가능하여 중요한 일이 있는 경우에는 장치를 제거할 수도 있으며, 음식을 먹을 때나 칫솔질을 하는 경우에는 제거하면 됩니다.
오랜 기간 노력한 치료를 장기간 유지하시려면 적절한 유지 장치를 교정과 의사의 권유에 맞게 잘 착용해 주셔야 합니다.
돌출입을 해결하기 위해 2년간 교정치료를 진행하였습니다. 교정 치료 완료 후 6년이 지났지만 치열은 가지런한 상태를 유지하고 있습니다. 교정 치료 기간에는 치아가 썩는것을 방지하기 위해 적극적으로 구강 위생 관리와 교육을 하여 비교적 밝은 치아 색을 유지하고 있지만, 교정 치료가 완료 된 후 1년에 한번 정도만 내원하는 과정을 거치는 동안 구강위생 체크가 부족하여 치아는 전반적으로 노란색으로 변색된것을 볼 수 있습니다. 이러한 변색은 미백 치료를 하거나 평소에 양치질을 열심히 하시면 돌아오게 됩니다.
불규칙한 치열을 가진 경우라 하더라도 유지장치를 잘 사용하면서 매년 1회 정도 병원에 내원하여 관리한 경우입니다. 2년의 교정 치료 이후 5년이 지났지만 불규칙한 치열로 돌아가는 재발은 발생하지 않았습니다. 발치한 공간이 벌어지지도 않고 잘 유지되고 있습니다.
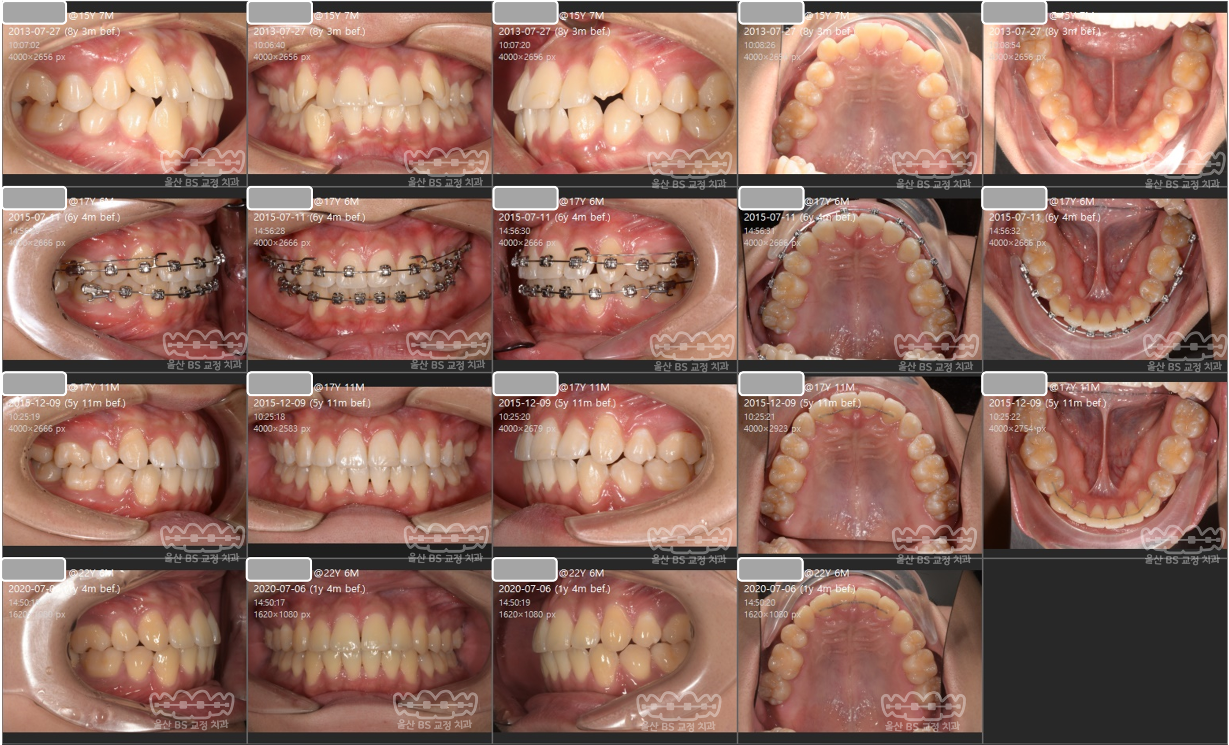
교정치료기간 2년을 넘기지 않고 비교적 빠르게 불규칙한 치열이 해결된 경우입니다. 이러한 경우라도 적극적인 유지관리를 할 경우 수년의 시간이 지나도 치열이 재발되지 않고 잘 유지되는것을 볼 수 있습니다.
교정 치료 이후 유지 관리가 잘되게 하려면 우선적으로는 교정 치료 완료 후 유지 관리 계획을 잘 짜서 실행해야 합니다. 치열의 적응 기간에 맞추어 유지 장치 착용 시간을 조절하며, 본인의 골격에 맞는 적절한 유지 계획으로 궁극적으로는 유지장치 사용을 1주일에 1회 혹은 1개월에 1회 정도 야간 착용하는것으로 줄여나가며 본인의 골격에 적응시키는것이 중요하다고 생각합니다. 물론 이러한 유지 관리 이전에 제대로된 치료 계획으로 교정 치료를 계획하고 그에 따라 실행하는것이 우선되어야 합니다.

 
             
            